咨询热线13616324057
喝咖啡可能导致缺钙,咖啡是日常生活中很好的饮品,咖啡的含糖量很低,但咖啡中含有咖啡因,咖啡因有刺激交感神经或利尿的作用,能促进循环,利尿。利尿后,血钙会从体内排出

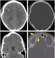
颅骨骨折是指颅骨受到猛烈作用而引起颅骨结构改变,颅骨骨折占颅脑损伤的15% ~ 20%,颅骨骨折是颅内疾病损伤的危险信号。

骨密度测定仪有双能X线的,也有超声的,市面上见得比较多的是超声骨密度测定仪,因为没有辐射,应用范围比较广。

骨盆向前,在我们的日常生活相对比较多,主要是由于久坐不动等原因造成的,需要及时纠正,否则骨盆向前很长一段时间,不仅影响外观,也会导致问题,如便秘,痛经,此外,还会加重背部和骨盆

骨质增生,又称骨刺,是困扰中老年人的一种常见的骨科疾病,严重影响人们的生活和工作,得了骨增生那怎么治疗呢?

骨密度是衡量骨质量的重要指标。它不仅可以直接评价骨矿物质含量,还可以间接反映机体的钙营养状况。众所周知,钙营养状况直接影响儿童身高的生长。因此,在儿童发育过程中,

山东国康电子科技有限公司 备案号:鲁ICP备16021555号-21